Sunburst Pattern Bone Cancer is a versatile and budget-friendly source for crafting, scrapbooking, and do it yourself tasks. With countless design choices, you can locate patterns that fit every style and celebration, from floral and geometric prints to holiday-themed layouts. These papers are excellent for developing tailored cards, covering presents, or adding attractive aspects to your crafts.
Easy to download and install and print, pattern paper conserves time and money, making it a go-to service for hobbyists and experts alike. Whether you're dealing with an institution job or enhancing your home, printable pattern paper uses an innovative and hassle-free means to bring your concepts to life.
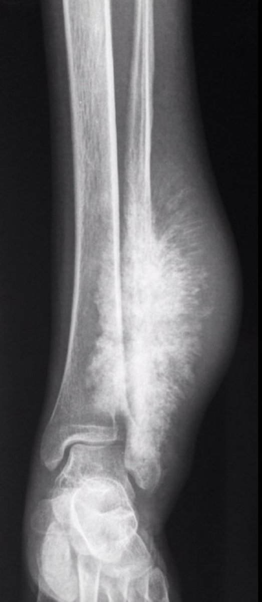
Sunburst Pattern Bone Cancer

Sunburst Pattern Bone Cancer
No Fog Face Mask Patterns for Glasses Wearers Free Printable PDFs DIY Sewing I tested and compared 5 free face mask patterns Here are Reverse nose fold face mask for glasses wearers. This anti fog face mask has a clever design that doesn't need a nose wire and it folds flat!
No fog face mask experience needed the Lettuce Craft Forums

Ghana News Summary On Twitter RT BrownHospMed A 20 Year Old Man
Sunburst Pattern Bone CancerMay include: A printable sewing template for a face mask. The template is available. zoom image 5 of 8. May ... 5 free face mask patterns Here are the best ones for glasses wearers that don t fog These are all printable pdf patterns that you can print and cut around
3D Face Mask | No Fog On Glasses | FULL SIZES Of PDF Pattern [ XXS-XL ]. 61K views4 years ago #3dfacemask #diy3dfacemask # ... Bone Tumors Bone Tumors
Anti Fog Face Mask For Glasses Wearers Hello Sewing

Image Radiopaedia
Learn how to make a face mask with these 40 free face mask patterns plus a printable sewing pattern PDF template and easy instructions OSTEOSARCOMA Pathological Features Pathology Made Simple
Free sewing patterns for face masks including ones with filters nose wire and scarf style with our Free Printables Roundup of face mask patterns OSTEOSARCOMA Pathological Features Pathology Made Simple Pin By ALMA LEAL On BORDADOS Mexican Embroidery Designs Embroidery

Sunburst Boucle Unicorn

Sunburst Pattern Veneer Photos Download The BEST Free Sunburst Pattern

Life after treatment American Cancer Fund

Sunburst Pattern Stained Glass PDF Digital File Etsy Stained Glass
Honorary Marine

Representative X ray Appearance Of A Primary Benign Bone Tumor

Sunburst Appearance Pacs

OSTEOSARCOMA Pathological Features Pathology Made Simple

Pin By E On Geometric Designs Geometric Abstract

Osteogenic Sarcoma Sunburst